専門医が語る「リウマチを知ろう!」
リウマチじゃないかも?
やさしいお手入れで!
こんなことは、ありませんか?
あなただけではありません。
実は、悩んでいる人は多いのです。
100人に1人くらいはかかると言われ、意外に身近な「関節リウマチ」。
完治の非常に難しい病気で、多くの人が悩んでいますが、お薬が進化して、早期発見し適切な治療をすれば、いまではほとんどの不具合は解決できるようになりました。何より大事なのは、「もしかして!?」と感じた時にまずは専門医を受診すること。
内科と外科の専門医がいる大同病院から、大切な情報をお届けします。
関節リウマチの痛みについて、もっと知る
どんなときに痛む?
- 朝起きたとき、タオルを絞るとき
- 包丁を握って圧力をかけるとき
- 鉛筆を持って字を書くとき など
どのように痛む?
- 関節が腫れたり熱っぽかったりする
- ピリピリと皮膚の表面に何かが走っているような感覚がある
- いつもグローブをはめているような感覚がある など
関節リウマチでは、指の関節痛の症状が、最初に現れる傾向にあります。突き指や使いすぎといった思い当たる原因がないのに痛む、なんとなく曲げにくいと感じていたら、そのうちにジリジリとした痛みが増してくる、といった具合です。そして、徐々にいくつかの関節が腫れて痛み、1カ月半以上つづくのが典型的とされています。だから、
\ 症状が1カ月以上つづいていたら、受診してみましょう! /
関節リウマチの病態についてもっと知る
「リウマチ」とは、ギリシア語の「流れる」という意味を持つ言葉です。筋肉や関節の炎症と痛みが身体のあちこちに流れていって引き起こされる病気であることから、そう名付けられました。自分の身体を守るはずの免疫が、誤って細胞や組織を攻撃してしまうために起こる自己免疫疾患、なんて厄介ですね。
関節の内面をおおう「滑膜」や、細胞と細胞の間にある組織や血管に炎症が起きます。症状が進行すると、軟骨や骨が壊れ、また関節だけではなく全身のさまざまな臓器や器官に症状が現れることがあります。
40~60代の女性の発症する確率が高いと言われており、日本での患者数は100人中1人程度といわれています。 意外に身近な病気だからこそ、ちょっとだけ知っておいていただきたいのです。

リウマチの不具合を解決したい!
大同病院のリウマチ診療
全身をめぐる
マクロな内科
×
繊細に調整する
ミクロな外科
専門医と解決しよう
「もしかしてリウマチ?」と思い当たる症状があれば、ためらうことなく、まずは受診してください。その際「リウマチ専門医」のいる医療機関がお勧めです。リウマチなのか、そうでないのかを的確に診断し、そうでなければひと安心。もしもリウマチなら、早期に適切な治療を開始することができます。完治はできないといわれる病気も、お困りごとはトコトン解決したいから、一緒に考えていきます。
リウマチ専門医ってどこにいるの?
多いのは「リウマチ科」といった名の内科です。当院にもあります。それ以外に、整形外科や皮膚科などにもいらっしゃる場合があります。
大同病院・だいどうクリニックでは、「膠原病・リウマチ科」と「整形外科」に専門医がいて、内科と外科の両面から、その方の症状や治療の希望に合わせて、いちばん適切だと考えられる治療を選択することができます。
だいどうクリニック受診の際は、まずは「総合内科」に予約をしてください。当科は、当院のすべての内科の窓口であり、膠原病・リウマチ科の医師が兼務しています。
リウマチ専門医ではどんなことをしてくれるの?
適切な検査
的確な診断
まず問診を行い、血液検査、関節エコー(超音波)やレントゲンなどの画像検査を行います。MRI撮影を行うこともあります。
全身を診る
マクロな内科
抗リウマチ薬、生物学的製剤やJAK阻害薬と呼ばれる炎症を抑える薬が進化し、症状をほぼ抑えられるようになっています。
繊細に調整する
ミクロな外科
暮らしの中でさまざまな役割を担う繊細な「手」。その微妙な不具合を調整したい。そんなときは「手外科」の出番です。
検査と診断についてもっと知る
関節リウマチの診断基準
(触診、超音波、MRI検査のいずれか)
- 腫れまたは痛みのある関節の数がどの程度か?
- 血液検査で異常があったか(リウマトイド因子、抗CCP抗体)
- 関節炎はどのくらいの期間、持続しているか(6週間未満/6週間以上)
- 炎症反応(CRP、ESR)はあったか血液検査で異常があったか(リウマトイド因子、抗CCP抗体)
関節の痛みや腫れの起こりやすい部位

リウマチのお薬についてもっと知る
一般的な発症の早期から、免疫異常を改善する「抗リウマチ薬」を開始します。代表的な抗リウマチ薬である「メトトレキサート」では、内服薬を週1回、8~10週にわたって服用します。これで、半分くらいの方が良くなります。
必要に応じて痛み止めも使用しますが、湿布や張り薬では治りません。漢方などの東洋医学でも十分な治療は得られません。免疫は記憶されるため、病気に応じた治療をしっかり行う必要があります。
効果が不十分な場合は生物学的製剤という注射やJAK阻害薬という内服薬を併用していきます。これらのお薬が出てきたことで、ただし、メトトレキサートでは月々の医療費が3割負担の方で、数千円で収まるところ、生物学的製剤などでは月に3~4万円ほどかかってきます。
治療を始める時期が早ければ早いほど、体にもお財布にも優しい治療をはじめることができます。少しでも気になる症状があったら、ぜひ受診してください。
リウマチのお薬の種類
- 痛み止め(NSAIDs)
関節の腫れや痛みを和らげるお薬です。炎症の進行や関節破壊を防ぐ効果はありません。
- ステロイド薬
関節の腫れや痛みを和らげる効果を速やかに発揮します。関節リウマチそのものは、治せません。
- 抗リウマチ薬(DMARDs)
関節リウマチの原因である免疫の異常に作用して、関節の腫れや痛みを抑え、関節破壊の進行を抑制します。免疫調整薬(免疫異常を改善する作用)と免疫抑制薬(過剰な免疫の働きを抑える作用)があります。
- 生物学的製剤
炎症を引き起こすサイトカインの働きを妨げたり、免疫細胞に作用したりして炎症を抑える注射薬(点滴または皮下注射)です。DMARDs投与で症状が十分に改善しないときに使用します。
- JAK阻害薬
炎症を引き起こすサイトカインの働きを抑え、関節の炎症を抑える飲み薬です。DMARDs投与で症状が十分に改善しないときに使用します。
リウマチのお薬の使い方

薬が進化して、リウマチは寛解できるようになった!
経済的なことも考えれば、とにかく早期発見・早期治療が大切!
手の外科のことをもっと知る
より高い日常生活動作(ADL)・生活の質(QOL)のために!
手の関節は末端にあり小さく、たとえ薬が進化しても、お薬の効きがいまひとつということがあります。
リウマチのお薬が進化したことで、病気の進行を抑えることが可能になった反面、手のちょっとした不具合が気になる、といったニーズが逆にクローズアップされるようになりました。
大同病院の手外科では、人工関節置換術や関節形成術などさまざまな手術式、関節内注射などを駆使して、微妙な不具合をピンポイントの手術で改善することが可能です。
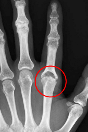
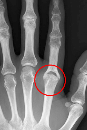
症例1
135歳女性の患者さん、人差し指の第3関節(MP関節)に炎症を起こし腫れていました。


2ステロイド関節内注射により腫れは引きましたが、痛みが持続するためMRIを撮ってみると、滑膜の炎症が残っていました。


3そのため手術をして滑膜除去を行ったところ、スッキリしネイルアートも楽しめるようになりました。


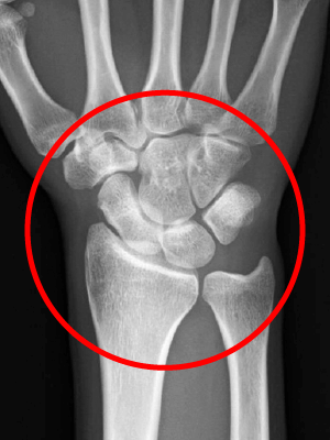
症例2
163歳の女性は、滑膜炎が進行し、関節の腫れや骨の変形が生じ、手の甲の腱が断裂してしまい、薬指や小指をピンと伸ばせない状態になりました。




2手術をして、滑膜の切除と腱の移行を行ったところ、手がきれいに伸びるようになりました。


医師紹介
土師陽一郎

日本リウマチ学会認定リウマチ専門医、日本内科学会認定総合専門医
だいどうクリニック副院長
全身性免疫疾患である膠原病や感染症を中心に全身を診る専門家。リウマチから派生するさまざまな内科疾患もしっかりフォローします。
篠原孝明

日本手外科学会認定専門医、日本整形外科学会認定リウマチ医
大同病院副院長
「手」へのこだわりが、ミクロで高度な技を可能にする。手関節のどんな不具合にも果敢に、かつ繊細に立ち向かう頼もしき「匠」です。
渡部達生

日本リウマチ学会認定リウマチ専門医
加藤瑞樹

膠原病・リウマチ内科医長
日本リウマチ学会認定リウマチ専門医
渡辺 充

膠原病・リウマチ内科医長
日本リウマチ学会認定リウマチ専門医
伊藤孝典

膠原病・リウマチ内科医
日本リウマチ学会認定リウマチ専門医
よくある質問
- リウマチになりやすいのはどんな人ですか?遺伝や家族状況、性格なども関係ありますか?
関節リウマチの原因ははっきりとは分かっていません。しかし、ご家族に膠原病の方がいらっしゃる場合に遺伝しやすいとは言われています。また、歯周病の原因菌であるプロフィロモナス・ジンジヴァリス菌を保有していることが発症に結びついたり、喫煙が原因となって抗CCP抗体というリウマチに特異性の高い(よく表れる)抗体が誘発されたりすることが知られています。関節リウマチには“生活習慣病”的な側面もあるといえます。口腔内を清潔に保つことは関節リウマチ予防の観点からも大事です。
性格が関係あるという医学的データはありませんが、高ストレスが病気の誘発や進展によくない影響を与えることはあります。- リウマチに似た病気にはどんなものがありますか?
手の関節が腫れたり、痛みが出たり、動かしにくくなる病気はいくつかあります。ばね指や手根管症候群などは代表的なものです。また、リウマチの症状が出やすいのは、第2・第3関節ですが、第1関節が変形するもので「へバーデン結節」という病気があります。第2関節が変形する「ブシャール結節」という病気もあります。
そのほか、リウマチと同じ膠原病のなかにも、全身の関節が腫れる「全身性エリテマトーデス」といった病気もあります。膠原病やリウマチの専門医に受診していただくことで、そのあたりの鑑別もきちんとしてもらえます。- リウマチの治療にはどのくらいお金がかかりますか?
代表的な抗リウマチ薬である「メトトレキサート」で症状を緩和することができれば、3割負担の方で月4,000円程度となります。生物学的製剤となると月数万円となり、医療費の負担が重くのしかかってくることがあります。関節リウマチの患者さんの約3割の方が、経済的な不安を抱えているとのデータもあります(『リウマチ白書』)。早期の発見・治療開始が重要であることは経済面でも明らかです。
当院では医療相談室『D-Call』で、そうした経済的なお困りごとの相談にも応じています。- 健康診断で「膠原病・リウマチ検査」というものがありますが、これは何を調べるのですか?
だいどうクリニック健診センターで実施している「膠原病・リウマチ検査」では、「抗核抗体」「抗CCP抗体」「MNP3」という3項目について調べます。
このうち「抗CCP(環状シトルリン化ペプチド)抗体」は、関節リウマチで炎症を起こしている滑膜に存在するタンパク質の一種に対する抗体です。関節リウマチ患者さんの7〜8割がこの抗体を持っているとされ、ごく早期のリウマチでも血液中にみられます。また他の病気では見つかることが少ないため、リウマチ診断に有意な項目とされています。
「抗核抗体」は、細胞の核の構成成分に反応する自己抗体の総称で、膠原病全般の方で数値が高くなります。「MNP3」は、関節リウマチのほか、全身性エリテマトーデスなどでも増殖することのあるタンパク分解酵素のひとつです。
関連リンク
関節リウマチだけでなく、膠原病全般について専門的に診療しています。
.
手の専門外科であり、顕微鏡を使った微細な手術に力を入れています。
全身の関節について広く診療しています。
.
関節リウマチ お役立ちリンク
- おしえてリウマチ~なぞを知る。未来が替わる。(中外製薬)
リウマチの基本的なことがよくわかります。 - リウマチェンジ~患者さんのより良い毎日のために(イーライリリー)
患者さん目線での、さまざまな情報を入手できます。 - 日本リウマチ学会
日々リウマチのことを研究・診療する、リウマチ専門医の認定機関です。
医療機関の先生方へ
関節リウマチの疑われる患者さまについて、お気軽にご相談・ご紹介ください。
内科、整形外科、皮膚科など、いずれの診療科からご紹介いただく患者さまに対しても丁寧に診療し、返戻いたします。
連絡先・アクセス
大同病院 地域医療連携室
電話番号: 052-611-1122(直通)
FAX番号: 052-611-1021(専用)



